山一大附属肿瘤医院质子中心实验室刘志强教授团队研究成果揭示了骨髓瘤骨病发生的细胞力学生物学机制
近日,我院质子中心实验室刘志强教授研究团队在血液学领域国际权威期刊Blood(IF=23.1)发表了题为《Tunneling Nanotube-Mediated Intercellular Transport of Filamin AMechanosensitively Programs Osteoclastogenesis in Myeloma Bone Disease》的研究论文。该研究发现,骨髓瘤细胞可通过隧道纳米管(tunnelingnanotubes,TNTs)与破骨细胞前体建立直接连接,并定向转运细胞骨架关键蛋白FilaminA重塑破骨细胞的骨架结构与力学特性,促进破骨分化及骨破坏。该成果从细胞力学生物学角度阐明了骨髓瘤骨病发生发展的重要机制,为相关靶向干预策略的研发提供了新的理论依据。

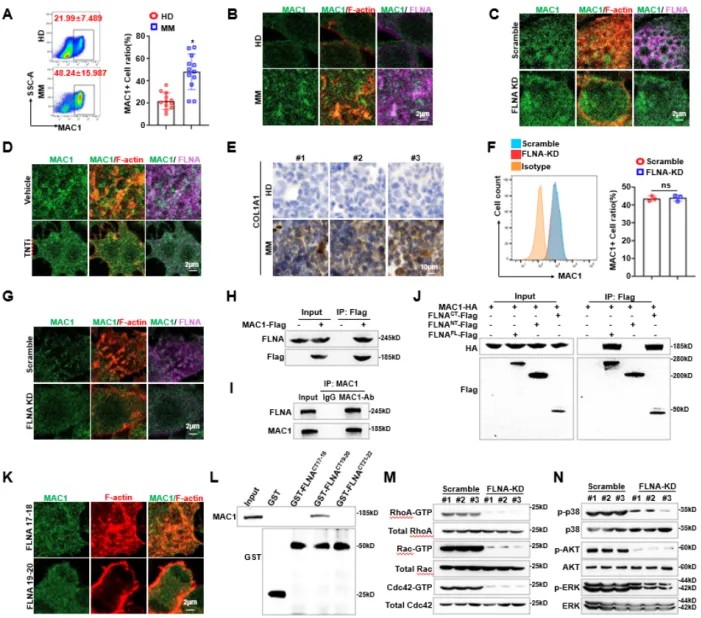
研究团队建立了骨髓瘤细胞与破骨细胞前体的直接共培养体系,发现两类细胞之间存在大量TNT结构。通过稳定同位素标记(SILAC)结合正负双重筛选策略,研究人员鉴定出Filamin A(FLNA)为TNT介导转运的重要效应分子。进一步研究表明,骨髓瘤细胞可通过TNT将FLNA定向转运至破骨细胞前体,进而促进破骨分化并维持细胞骨架及足小体结构稳定。

机制研究表明,FLNA主要通过两条途径发挥作用:一方面,FLNA增强MAC1与F-actin偶联,激活Rho、MAPK等信号通路,促进细胞骨架重塑并提升破骨细胞前体的力学特性。

另一方面,FLNA可直接结合vinculin,促进其在足小体处募集和稳定,进一步增强足小体组装及骨吸收功能。上述结果表明,骨髓瘤细胞可通过TNT定向递送 FLNA,重塑破骨细胞前体的骨架结构和机械响应能力。

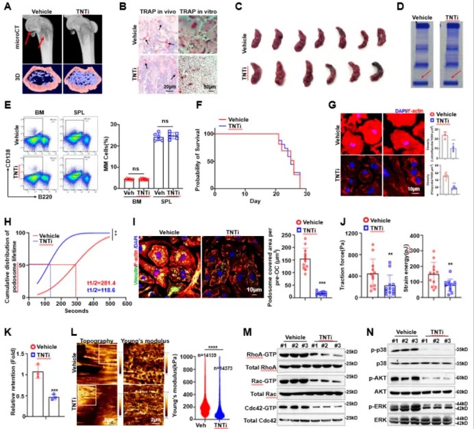
在体内,研究团队利用Vk*MYC和5TGM1等骨髓瘤小鼠模型进一步验证了上述机制的病理意义。结果显示,TNT抑制剂可显著阻断FLNA向破骨细胞转运,减轻骨质破坏并抑制破骨活性,而对肿瘤负荷无明显影响。该研究提示,靶向TNT介导的细胞间物质转运,有望通过抑制病理性破骨过程改善骨髓瘤骨病,为相关治疗策略提供了新的思路。

该研究从细胞间物质转运这一全新视角,揭示了骨髓瘤细胞通过TNT向破骨细胞前体递送FLNA,并通过调控细胞骨架及足小体相关网络促进破骨分化和骨破坏的机制。研究结果进一步丰富了对骨髓瘤骨病发病机制的认识,并为探索相关靶向干预策略提供了新的理论依据。

该研究论文主要通讯作者为我院刘志强教授,第一作者为我院博士后郭静和副研究员王京京。
正文链接:
https://pubmed.ncbi.nlm.nih.gov/41950002/
供稿:质子中心实验室
编辑:李鹏飞
责编:王沙沙
审核:路友华
