• 第32届全国肿瘤防治宣传周大型科普义诊活动在济南举办

    第32届全国肿瘤防治宣传周大型科普义诊活动在济南举办

    为积极响应第32届全国肿瘤防治宣传周“早防早筛早治,同心携手抗癌”主题,切实为广大肿瘤患者及家属提供专业、便捷的诊疗服务,4月18日,我院依托省癌症中心、省抗癌协会,联合驻济各大医院肿瘤防治领域专家举办大型科普义诊活动。中国工程院院士、我院院长、山东省抗癌协会理事长于金明,山东省卫生健康委医疗应急处相关负责同志参加活动,我院党委委员...

    发布时间:2026-04-22 来自:
    分享到:
  • 喜报!我院高质量数据集建设喜获省级项目“双立项”

    喜报!我院高质量数据集建设喜获省级项目“双立项”

    近日,由我院质量管理部前期组织申报的两项高质量数据集项目分别入选山东省卫生健康行业第一批高质量数据集培育项目及山东省“数据要素×”创新应用转移支付项目高质量数据集奖补名单(全省医疗机构唯一入选单位),标志着我院在高质量数据集建设和数据要素价值转化方面迈出了坚实一步。01首批卫生健康行业高质量数据集培育项目该项目由山东省卫生健康委员...

    发布时间:2026-04-22 来自:
    分享到:
  • 【2026肿瘤防治宣传周系列科普】年年体检仍“漏癌”?防癌体检讲究“量体裁衣”

    【2026肿瘤防治宣传周系列科普】年年体检仍“漏癌”?防癌体检讲究“量体裁衣”

    2026年4月15-21日是第32个全国肿瘤防治宣传周。今年宣传周的主题是“早防早筛早治同心携手抗癌”。山东第一医科大学附属肿瘤医院特别推出系列科普,帮助公众提高科学防癌抗癌意识和知识水平。本期内容为:年年体检仍“漏癌”?防癌体检讲究“量体裁衣”。近日,山东第一医科大学附属肿瘤医院影像科主任黄勇参加山东广播电视台肿瘤防治宣传周特别节目《身体...

    发布时间:2026-04-20 来自:
    分享到:
  • 山一大附属肿瘤医院质子中心实验室刘志强教授团队研究成果揭示了骨髓瘤骨病发生的细胞力学生物学机制

    山一大附属肿瘤医院质子中心实验室刘志强教授团队研究成果揭示了骨髓瘤骨病...

    近日,我院质子中心实验室刘志强教授研究团队在血液学领域国际权威期刊Blood(IF=23.1)发表了题为《Tunneling Nanotube-Mediated Intercellular Transport of Filamin AMechanosensitively Programs Osteoclastogenesis in Myeloma Bone Disease》的研究论文。该研究发现,骨髓瘤细胞可通过隧道纳米管(tunnelingnanotubes,TNTs)与破骨细胞...

    发布时间:2026-04-20 来自:
    分享到:
  • 【2026肿瘤防治宣传周系列科普】第1期:于金明院士专访——科学防癌护健康政策暖心筑防线

    【2026肿瘤防治宣传周系列科普】第1期:于金明院士专访——科学防癌护健康...

    2026年4月15-21日是第32个全国肿瘤防治宣传周。今年宣传周的主题是“早防早筛早治同心携手抗癌”。山东第一医科大学附属肿瘤医院特别推出系列科普,帮助公众提高科学防癌抗癌意识和知识水平。本期内容为:于金明院士专访——科学防癌护健康政策暖心筑防线。近日,中国工程院院士、我院院长于金明受邀参加山东广播电视台《健康山东》全国肿瘤防治宣传周特别...

    发布时间:2026-04-17 来自:
    分享到:
  • 2026年第32届全国肿瘤防治宣传周义诊活动预告

    2026年第32届全国肿瘤防治宣传周义诊活动预告

    2026年4月15-21日是第32个全国肿瘤防治宣传周,主题为“早防早筛早治同心携手抗癌”。为积极响应全国肿瘤防治宣传周主题号召,切实广大肿瘤患者及家属提供专业、便捷的诊疗服务,山东省肿瘤医院联合来自山东大学齐鲁医院、山东省立医院、山东省千佛山医院等省内十余家大型医院的五十余位肿瘤专家开展大型义诊活动。一、义诊基本信息时间:2026年4月18日(...

    发布时间:2026-04-16 来自:
    分享到:
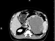
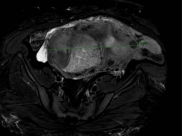
  • 【山肿特色医疗技术】精准攻坚妙手除瘤|山肿肝胆外科成功完成2例腹膜后巨大肿瘤切除

    【山肿特色医疗技术】精准攻坚妙手除瘤|山肿肝胆外科成功完成2例腹膜后巨...

    编者按:为充分展现医院特色、学科优势和特色诊疗技术,形成良好品牌效应,提升大众对肿瘤技术的了解,山东第一医科大学附属肿瘤医院开设“山肿特色医疗技术”专栏,全方位展示医院的创新成果与优质服务。本期内容为“腹膜后巨大肿瘤根治性切除术”。腹膜后间隙解剖结构复杂,毗邻腹主动脉、下腔静脉、肝胆胰肾等重要脏器与大血管,该区域肿瘤位置隐匿、早...

    发布时间:2026-04-14 来自:
    分享到:
  • 号外!山肿放疗病区搬家啦!

    号外!山肿放疗病区搬家啦!

    山肿放疗病区科室新布局为进一步优化诊疗环境,提升医疗服务效率,更好地满足广大肿瘤患者的就医需求,我院近期对放疗病区位置进行了调整。为避免您就诊时跑空、耽误诊疗时间,现将具体调整明细公示如下:1.就诊期间,若您找不到新病区位置,可咨询现场医护人员或志愿者,我们将为您提供引导服务。2.医院咨询电话:0531-87984777,如有疑问可随时拨打咨询...

    发布时间:2026-04-13 来自:
    分享到:
共276页上一页123...276下一页