【山肿特色医疗技术】联合疗法再创佳绩——高龄SMARCA4缺失肺癌患者获良效
编者按:为充分展现医院特色、学科优势和特色诊疗技术,形成良好品牌效应,提升大众对肿瘤技术的了解,山东第一医科大学附属肿瘤医院开设“山肿特色医疗技术”专栏,全方位展示医院的创新成果与优质服务。本期内容为“联合疗法再创佳绩——高龄SMARCA4缺失肺癌患者获良效”。
近日,我院呼吸内科一病区主任王海永教授团队成功救治一位79岁高龄的SMARCA4缺失纵隔型肺癌患者。
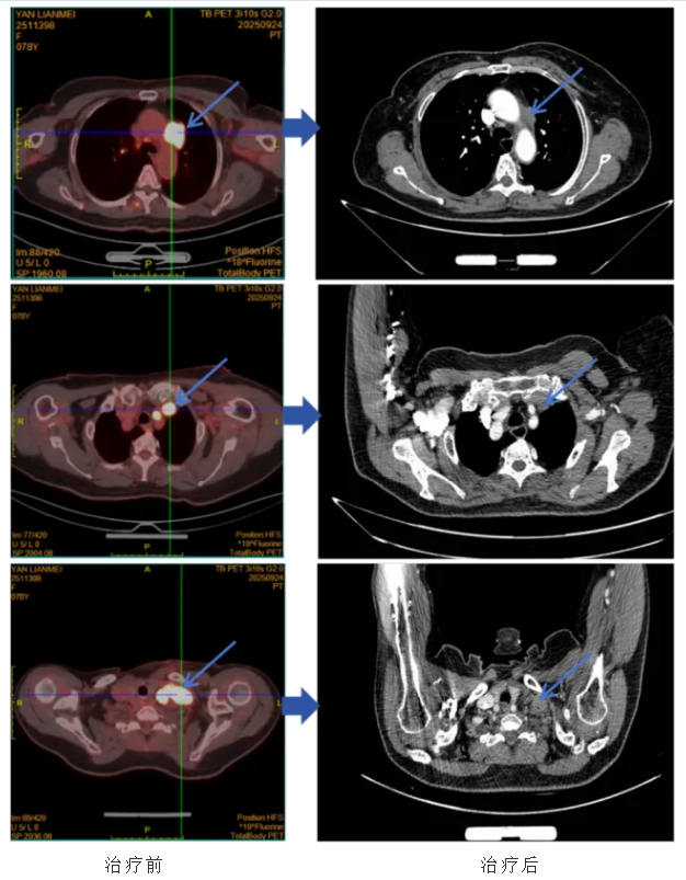
2025年9月,闫女士因“左手肿胀麻木2天”在当地医院就诊,胸部CT检查发现左侧中上纵隔占位性病变,伴左侧腋窝、锁骨上及纵隔内多发肿大淋巴结。随即行超声引导下左锁骨上淋巴结穿刺,查见恶性肿瘤。为寻求精准救治,闫女士来到山东第一医科大学附属肿瘤医院,求助于王海永教授团队。PET/CT检查结果显示:左前纵隔、左侧锁骨区、左侧颈根部多发肿块及结节,均考虑为相同性质恶性肿瘤。病理会诊结果明确诊断为转移性分化差的癌,倾向SMARCA4缺失的低分化腺癌。由于基因检测未发现突变,患者并无靶向治疗机会。病情已发展至晚期,高龄加上晚期病情,让患者的诊疗之路充满考验。我院第一时间为闫女士组织多学科会诊(MDT),综合评估患者的年龄、身体状况、病情分期等关键信息后,给出专业诊疗意见:建议患者优先入组针对SMARCA4缺失型肺癌的临床试验。随后,闫女士顺利入组王海永主任发起的“艾帕洛利托沃瑞利单抗联合含铂化疗和盐酸安罗替尼治疗SMARCA4缺失的晚期或转移性非小细胞肺癌的单臂、II期探索性研究”。完成2周期治疗后,患者于2025年12月24日行胸部CT复查,结果显示左前纵隔肿瘤及左侧锁骨区、左侧颈根部转移淋巴结较前明显缩小,治疗效果显著。王海永主任及其团队考虑患者高龄,为避免严重不良反应的发生,予以积极对症处理,延长住院时间,患者耐受性良好。截至目前,闫女士已完成8个周期的规范治疗,顺利进入维持治疗阶段,病情持续稳定,且在整个治疗过程中患者耐受性良好,未出现明显不良反应,生活质量得到有效保障。
SMARCA4缺失型非小细胞肺癌属于罕见的肺癌亚型,因SMARCA4基因表达缺失致使癌细胞异常增殖,具有恶性程度高、传统治疗效果差、预后不佳的特点,而高龄晚期患者因身体机能较弱,治疗难度更上一层楼,临床救治面临诸多挑战。79岁的闫女士正是这类高危患者,其救治过程也成为高龄罕见肺癌治疗的典型案例。

【肺癌防治小贴士】
什么是SMARCA4缺失型非小细胞肺癌?
SMARCA4缺失型非小细胞肺癌是一种罕见肺癌亚型,因SMARCA4基因表达缺失导致癌细胞“失控生长”,具有恶性程度高、传统治疗效果差、生存期短的特点。通常无常见的EGFR、ALK等驱动基因突变,因此靶向药往往无效,需要更有效的联合治疗方案。
【创新联合疗法好在哪?】
多靶点协同:双免疫药物激活免疫系统,化疗直接杀癌,抗血管生成阻断营养,三重作用“围堵”肿瘤。针对性强:特别适合SMARCA4缺失这类对传统治疗不敏感的罕见肺癌,能突破治疗瓶颈。安全性可控:在临床试验中,多数患者耐受性良好,副作用可通过规范管理控制。
专家简介

主任医师,博士研究生导师,博士后合作导师;山东第一医科大学附属肿瘤医院内科大科主任,呼吸内科学科主任兼呼吸内科一病区主任;山东大学/澳门大学博士后,哈佛大学全球临床研究培训计划学者;兼任山东省医学会姑息医学分会主任委员、山东省抗癌协会肺癌青委会主任委员等。
门诊时间:每周一上午08:00-12:00、每周二下午13:45-17:00
位置:门诊2楼2通道1诊室
编辑:李鹏飞
责编:王沙沙
审核:路友华
