【山肿特色技术】我院神经外科开展专用颅脑手术导航机器人辅助微创脑肿瘤活检术
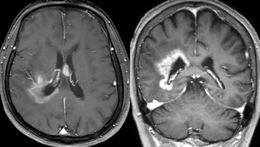
近日,一名80岁老年患者因“头晕伴左下肢感觉减退”就诊于我院神经外科,颅脑增强MR检查提示:右侧脑室后角旁及三角区占位,提示中枢神经系统淋巴瘤或胶质瘤可能。由于诊断不明确,难以提供确切、精准的后续治疗方案。患者高龄,病变位于功能区,多发散在,位置深,直接手术切除创伤大,易导致功能障碍。经术前多学科会诊,决定通过神经外科导航手术机器人辅助下微创活检,明确病理性质,为下一步治疗明确方向。


经过完善的术前准备,我院神经外科主任李峰教授带领团队制定了详细的手术计划,对该患者进行了神经导航机器人辅助下微创脑深部病变活检术,手术历时20分钟,切口直径仅5毫米,颅骨钻取3毫米微小骨孔,术后切口仅缝合一针,安返病房。次日复查颅脑CT未见出血,患者即下床自主活动。病理结果提示“弥漫性大B细胞淋巴瘤”,为患者后续精准治疗提供了保障。
神经导航手术机器人辅助下脑深部病变活检穿刺为微创非直视手术,通过术前将患者颅脑MRI及CT图像数据传输到机器人手术规划系统进行处理,利用图像融合技术,将病变空间解剖位置与各种血管图像精准融合,得到三维立体图像,在规划系统中准确定位病变位置,规划合理穿刺路径,精准避开血管和重要功能区,减少颅内出血等并发症。神经导航机器人定位精度高,穿刺误差小于0.5毫米。不仅克服了传统框架对穿刺路径阻挡的局限性,避免了安装头部框架所带来的痛苦及束缚,而且提高了颅内病变定位的精确度和操作的可视化。
导航机器人微创颅内及椎管内病变活检术的应用,避免了开颅手术,降低手术相关风险,为神经肿瘤精准诊疗提供了安全、高效的强大武器。随着分子病理整合诊断及放化疗、靶向治疗、免疫治疗的迅速发展,许多中枢神经系统肿瘤可通过微创、精准穿刺活检明确病理,指导后续治疗,获得良好的治疗效果。
本期专家

主任医师,山东省第一医科大学附属肿瘤医院神经外科主任,山东省临床肿瘤学会神经肿瘤专家委员会主任委员;山东省抗癌协会神经肿瘤分会主任委员,山东省神经肿瘤质控学组组长;山东省疼痛医学会副会长;山东省医学会神经外科学分会委员;中国临床肿瘤学会神经肿瘤专家委员会常委;中国抗癌协会肿瘤神经病学专委会常委。主持山东省重点研发计划二项,国家自然科学基金、山东省自然科学基金、中国博士后科学基金特别资助项目、中国博士后科学基金面上项目一等资助、以及山东大学自主创新基金各一项。研究成果获山东省科技进步二等奖。以第一作者/通讯作者发表SCI收录英文论文23篇,中文论文19篇。编著《临床神经外科学》、《颅脑巨微解剖学》等。对成人和儿童颅脑肿瘤、椎管及脊髓内肿瘤、功能性疾病(三叉神经痛、面肌痉挛等)、脑和脊髓血管疾病(脑血管畸形、动脉瘤)、脑积水、脑出血、脑外伤和先天性疾病(小脑扁桃体下疝畸形)等神经外科疾病有丰富、独到的诊治经验和技术。
专家门诊:每周一全天。
供稿:神经外科病区
编辑:李鹏飞
责编:王沙沙
审核:路友华
