【山肿特色医疗技术】绝境逢生!三联疗法破解晚期SMARCA4缺失型肺癌困局
编者按:为充分展现医院特色、学科优势和特色诊疗技术,形成良好品牌效应,提升大众对肿瘤技术的了解,山东第一医科大学附属肿瘤医院(山东省肿瘤医院)开设“特色医疗技术”专栏,全方位展示医院的创新成果与优质服务。本期内容为三联疗法破解晚期SMARCA4缺失型肺癌困局。
SMARCA4缺失型非小细胞肺癌作为罕见肺癌亚型,因SMARCA4基因表达缺失导致癌细胞恶性增殖,具有侵袭性强、传统治疗效果不佳、预后差的特点,晚期患者治疗选择极为有限。
近日,我院呼吸内科一病区主任王海永教授团队,再次成功为一名65岁的SMARCA4缺失型晚期非小细胞肺癌患者郑先生制定个体化联合治疗方案,经治疗后患者疗效显著,生活质量大幅改善。
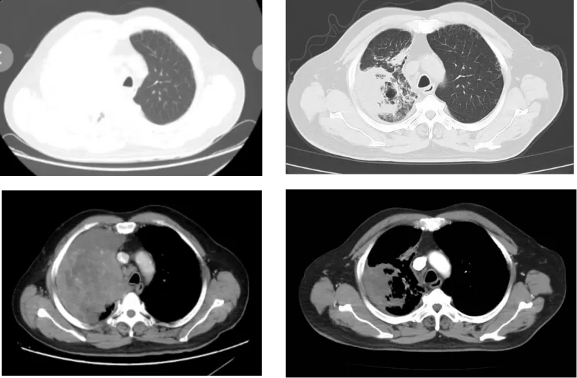
65岁的郑先生有50年吸烟史和饮酒史,2025年7月因胸闷憋气就诊,检查发现右肺上叶巨大占位,伴多发淋巴结肿大、血管受压、胸腔积液等表现,病理活检确诊为SMARCA4缺失型非小细胞肺癌,且已出现多发淋巴结转移、胸膜转移,处于IV期,基因检测阴性,病情危重,治疗难度极大。
为精准救治患者,王海永主任团队迅速启动多学科评估,结合患者病情,建议其加入由王海永教授发起的针对该罕见亚型的专项临床试验——“艾帕洛利托沃瑞利单抗联合含铂双药化疗和盐酸安罗替尼治疗SMARCA4缺失的晚期或转移性非小细胞肺癌的单臂、II期探索性研究”,采用免疫+抗血管+化疗的“三联联合”治疗方案。2025年7月31日,郑先生开始接受规范治疗,方案为艾帕洛利托沃瑞利单抗350mg+培美曲塞700mg d1+卡铂400mg d1+安罗替尼10mg d1-14,每3周为一周期。完成两周期治疗后,肿瘤明显缩小,患者胸闷憋气等临床症状完全消失,生活质量显著提升。目前,郑先生仍在按计划随访治疗,持续从该联合疗法中获益。

治疗前 2周期治疗后
专家简介
山东省肿瘤医院大内科主任
呼吸内科学科主任兼呼吸内科一病区主任
主任医师 博士研究生导师博士后合作导师山东大学/澳门大学 博士后 哈佛大学全球临床研究培训计划学者
山东省医学会姑息医学分会主任委员
山东省抗癌协会肺癌青委会主任委员
门诊时间:每周一上午08:00-12:00
每周二下午13:45-17:00
位置:门诊2楼2通道1诊室
供稿:呼吸内科一病区
编辑:李鹏飞
责编:王沙沙
审核:路友华

