【山肿特色医疗技术】精准攻坚妙手除瘤|山肿肝胆外科成功完成2例腹膜后巨大肿瘤切除
编者按:为充分展现医院特色、学科优势和特色诊疗技术,形成良好品牌效应,提升大众对肿瘤技术的了解,山东第一医科大学附属肿瘤医院开设“山肿特色医疗技术”专栏,全方位展示医院的创新成果与优质服务。本期内容为“腹膜后巨大肿瘤根治性切除术”。
腹膜后间隙解剖结构复杂,毗邻腹主动脉、下腔静脉、肝胆胰肾等重要脏器与大血管,该区域肿瘤位置隐匿、早期无症状,发现时大多瘤体巨大,手术切除是肝胆外科公认的高难度挑战。近日,我院肝胆外科团队凭借精湛技术、精准术前规划与精细化围术期管理,连续成功完成2例腹膜后巨大肿瘤根治性切除术,2名患者均无术后并发症,恢复良好且已康复出院,标志着我院复杂腹膜后肿瘤外科诊疗水平再上新台阶。
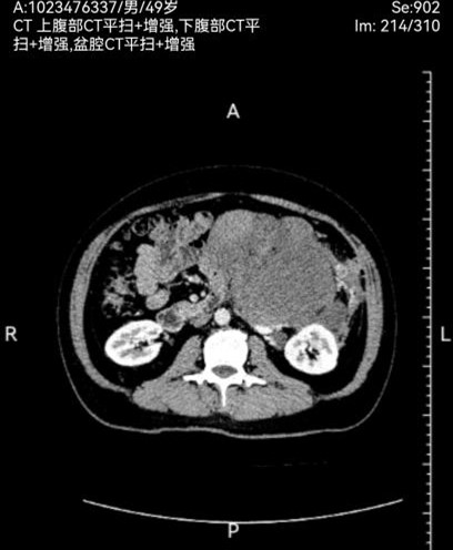
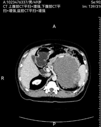
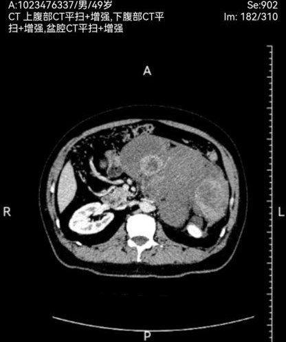
此次两名患者均因“腹部胀痛、包块及进食受限”入院,经增强CT三维重建及磁共振等检查,确诊为腹膜后巨大肿瘤。一例左侧腹膜后肿瘤,长径达30cm,重约4.8kg,紧贴腹主动脉及腹腔干,侵犯脾动脉根部及胰体尾、脾门、右肾及右肾上腺,与结肠系膜粘连紧密,挤压胃肠道引发不全梗阻;另一例右侧腹膜后肿瘤,长径40cm,重约3.2kg,侵犯结肠系膜根部血管,血供丰富,同时挤压肝门及十二指肠,存在右肾蒂损伤风险。


此类手术难点突出:一是肿瘤长期浸润周边脏器血管,正常解剖结构移位,术中极易引发致命大出血或肝胆胰肾等脏器损伤;二是巨大肿瘤占据腹腔空间,术野暴露差,精准分离难度极大;三是手术创面广,术后出血、感染、胰漏、输尿管损伤、肠道损伤等并发症风险高,直径超10cm的腹膜后肿瘤手术切除率低、风险极大。
为保障手术安全,我院肝胆外科副主任崔凯教授团队第一时间启动多学科协作(MDT),联合麻醉科、结直肠外科、泌尿外科、重症医学科专家,通过三维重建技术,精准还原肿瘤与血管、脏器的解剖关系,全面评估患者身体状况,量身定制手术入路、分离方案及应急预案,提前规划血管保护、脏器功能保留的关键操作步骤,筑牢手术安全防线。
手术由崔凯主任主刀完成,团队成员默契配合,精准实施开腹腹膜后肿瘤切除术。术中避开受压移位脏器,逐步暴露术野,凭借丰富的肝胆外科手术经验,沿肿瘤包膜精细分离,采用锐性与钝性结合的方式,耐心剥离肿瘤与腹主动脉、腹腔干、输尿管、肠系膜的致密粘连,全程严格保护关键血管及脏器,避免肿瘤破裂转移。经过数小时精细操作,两台手术均实现肿瘤完整根治性切除,术中出血量少,手术圆满成功。



术后科室实施个体化精细化ERAS康复管理,密切监测患者生命体征与引流情况,制定阶梯式营养支持方案,指导早期下床活动,强化疼痛与心理护理。两名患者恢复远超预期,术后第2天即可下床活动,肠道功能快速恢复,1周左右拔除引流管,进食恢复正常。术后复查显示,肿瘤无残留,脏器功能完好,无出血、感染、胰漏、淋巴瘘等并发症,患者及家属对诊疗效果高度认可。

腹膜后巨大肿瘤切除术,是对科室解剖把控、手术操作及综合诊疗能力的全面检验。此次两台高难度手术的成功,充分展现了我院肝胆外科在复杂腹膜后肿瘤、肝胆胰疑难病症诊疗领域的雄厚实力。科室长期深耕肝胆胰脾及腹膜后疾病诊治,常规开展各类疑难肿瘤根治术、微创诊疗等特色技术,坚持以MDT模式为疑难患者制定个体化方案,持续提升救治成功率。我院肝胆外科将继续精进技术、优化服务,深耕复杂病症诊疗领域,为更多患者解除病痛,全力守护群众生命健康,助力医院特色专科高质量发展。
专家简介

山东第一医科大学附属肿瘤医院(山东省肿瘤医院)
肝胆外科、副主任、副主任医师、医学博士、硕士生导师
肝胆胰肿瘤MDT专家组成员
结直肠肿瘤MDT专家组成员
山东省抗癌协会肝胆肿瘤分会青年委员会主任委员
山东省疼痛医学会临床营养与支持治疗专委会副主任委员
中国老年保健协会肝癌委员会常务委员
山东省医师协会肝胆胰腔镜微创医师分会常务委员
山东省临床肿瘤学会结直肠癌专委会常务委员
山东省医学伦理学会肝胆胰疾病微创诊疗专委会常务委员
山东省患者安全管理协会普外科专委会常务委员
国际肝胆胰协会中国分会肝胆胰外科ERAS专委会委员
中国抗癌协会肝癌专委会青年委员会委员
中国医师协会肝癌专业委员会内放射治疗学组委员
山东省医学会肝脏肿瘤多学科联合委员会委员
山东省医学会胃肠肿瘤多学科联合委员会委员
山东省医师协会肝癌多学科综合治疗委员会委员
山东省医师协会肝胆外科医师分会委员
山东省抗癌协会肝胆肿瘤分会 委员
山东省抗癌协会胰腺肿瘤分会委员
门诊时间:每周一下午
地点:山东省肿瘤医院门诊楼2层 15诊室肝胆胰外科门诊
电话:0531-67626242
供稿:肝胆外科病区
编辑:李鹏飞
责编:王沙沙
审核:路友华
