【山肿特色医疗技术】食管瘘的系统治疗与经口进食重建
编者按:为充分展现医院特色、学科优势和特色诊疗技术,形成良好品牌效应,提升大众对肿瘤技术的了解,山东第一医科大学附属肿瘤医院(山东省肿瘤医院)开设“特色医疗技术”专栏,全方位展示医院的创新成果与优质服务。本期内容为食管瘘的系统治疗与经口进食重建。
在食管癌等胸部恶性肿瘤的治疗过程中,食管瘘(食管壁上出现了一个“破洞”)是一种十分严重的并发症。据统计,食管癌患者中发生率约为4.9%,一旦发生,食物或分泌物可能误入胸腔,导致吸入性肺炎、严重感染、大出血及急剧营养不良,甚至危及生命。过去,患者预后极差,中位生存期仅以周至月计。随着医学技术与多学科诊疗模式(MDT)的进步,现代肿瘤治疗已不再“谈瘘色变”。通过多学科团队精密协作的系统性策略,不仅能有效控制肿瘤,更能成功修复瘘口,帮助患者重新享受“好好吃饭”的幸福。以下案例为我院消化内科一病区主任李长征教授团队成功诊治的一例合并食管瘘的食管癌患者。
“进食”与“生存”的双重挑战
72岁的陈先生(化名),2024年8月开始出现进食梗阻及呛咳,我院增强CT显示是局部中晚期胸中段食管癌,怀疑食管瘘形成。消化道造影证实了这一猜想。胃镜发现胸中段食管鳞癌伴有管腔狭窄。经我院食管癌多学科专家会诊,建议留置营养管,一般情况改善后先行全身治疗,适时局部治疗。患者入院后行内镜下胃管置入术,抗感染治疗后给予全身治疗,经治疗后,患者病情得到持续好转,生存时间已超过16个月,且食管瘘愈合,拔除营养管后,患者实现了经口进食,生活质量显著提升。


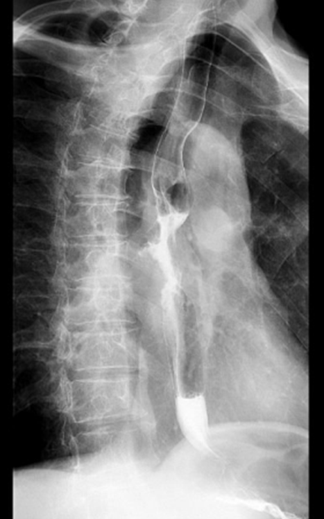
治疗前食管癌性狭窄与造影剂经瘘口外漏


治疗后肿瘤管腔改善,造影剂通畅无外漏,瘘口完全愈合
专家简介

山东省肿瘤医院消化内科一病区科主任主任医师
山东省研究型医院学会分子靶向治疗学分会主任委员
山东省健康管理协会消化道肿瘤防治专委会主任委员
山东省健康管理协会理事
中国医学前沿杂志(电子版)编委
国家抗肿瘤药物临床应用检测专家委员会委员
Diseases & Research 免疫治疗研究学院 顾问
中国抗癌协会临床化疗专业委员会 青年委员
中国医师协会肝癌专业委员会委员
中国医师协会胃癌专业委员会委员
中国肿瘤临床(CSCO)学会肿瘤营养治疗专家委员会 委员
中国研究型医院学会精准医学与MDT专业委员会 委员
中国肿瘤临床(CSCO)学会肿瘤营养治疗指南 执笔人
山东省医学会食管癌MDT规范化诊疗指南 执笔人
山东省医师协会肿瘤免疫治疗医师分会副主任委员
山东省研究型医院学会化疗学分会副主任委员
山东省老年医学会肿瘤个体化诊疗专委会副主任委员
山东省免疫学会肿瘤分子标志物与靶向治疗专委会副主任委员
山东抗癌协会消化道肿瘤分会常务委员
山东抗癌协会分子靶向治疗分会常务委员
山东抗癌协会大肠癌分会常务委员
山东抗癌协会神经肿瘤分会常务委员
山东省医师学会消化道肿瘤MDT专委会 常务委员
山东省临床肿瘤学会胃癌专委会常务委员
北京市癌症防治学会食管癌专业委员会委员
山东省抗癌协会化疗分会委员
山东省康复医学会康复心理专业委员会委员

刘新会
山东省肿瘤医院消化内科一病区副主任医师医学博士博士后
山东第一医科大学临床副教授
美国密西根州立大学医学院访问学者
山东省研究型医院学会肿瘤分子靶向治疗学分会秘书
山东省免疫学会肿瘤分子标志物与靶向治疗专委会常委
山东省老年学与老年医学学会安宁疗护专委会常委
山东省抗癌协会胃癌分会委员
山东省医师协会日间医疗专业委员会委员
亚太卫生健康协会肿瘤学分会委员

王慧君
山东省肿瘤医院消化内科一病区主治医师
山东省抗癌协会靶向治疗分会委员
山东省抗癌协会大肠癌分会青委会委员
山东省健康管理协会消化道肿瘤防治分会秘书
山东临床肿瘤协会胃癌专业委员会委员
山东省药师协会免疫药物专委会委员
山东省健康管理协会首届消化道肿瘤防治专业委员会委员
山东省临床肿瘤学会胃癌专家委员会委员
山东省临床肿瘤学会结直肠癌专家委员会委员
供稿:消化内科一病区
编辑:李鹏飞
责编:王沙沙
审核:路友华
