【山肿特色医疗技术】罕见“钻石”ALK融合遭遇RET突变双重打击,双靶精准狙击带来新希望
在肺癌精准治疗时代,基因突变检测已成为制定治疗方案的关键依据。近日,我院呼吸内科二病区主任唐晓勇教授团队和山东第一医科大学第二附属医院肿瘤科刘海燕教授团队携手成功诊治一例ALK融合罕见亚型耐药后继发RET突变并出现DIC纤溶亢进的危重肺癌患者,为复杂突变肺癌患者的治疗提供了新的思路。
基因突变与靶向治疗
现代肿瘤学研究表明,肺癌的发生与驱动基因突变密切相关。常见的驱动基因包括EGFR、ALK、ROS1、RET等,这些基因突变相当于癌细胞的“发动机”,促使肿瘤不断生长扩散。靶向药物能够精准抑制这些突变基因的活性,从而达到“精准打击”肿瘤的效果。其中,ALK融合基因虽然只占非小细胞肺癌的约3%–5%,却因其靶向治疗效果显著而被称为“钻石突变”——它就像钻石一样罕见却极为珍贵。
罕见突变带来的治疗挑战
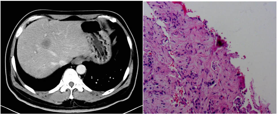
该患者确诊时已属晚期肺腺癌,基因检测发现EML4-ALK(E20:A19)这一在ALK融合突变中也属于罕见亚型的突变。与常见突变相比,罕见突变往往缺乏充分的临床研究数据,治疗选择更加复杂。初始阶段,患者对ALK靶向药物阿来替尼治疗反应良好,这体现了靶向治疗“精准打击”的优势。


耐药机制的复杂性
靶向治疗虽然效果显著,但耐药问题常见。本例患者在治疗7个月后出现耐药,肿瘤发生肝和骨髓转移。给予患者肝穿刺再活检明确耐药机制。后患者出现不明原因出血,实验室检查血小板、血红蛋白和纤维蛋白原进行性下降。唐晓勇主任及时与患者就诊的山东第一医科大学第二附属医院刘海燕主任团队沟通,最后考虑为肿瘤进展引起的DIC纤溶亢进。患者生命垂危!就在这千钧一发的时刻,基因检测结果回示ALK和RET双融合突变,立即给予针对洛拉替尼和塞普替尼双靶药物联合治疗,2天后患者症状明显好转,5天后血检结果恢复正常患者出院。

创新性治疗方案的成功实践
面对双重突变带来的治疗难题,唐晓勇教授团队采用双靶点联合治疗策略。洛拉替尼(针对ALK突变)联合塞普替尼(针对RET突变)的治疗方案,成功克服了耐药问题。

启示与建议
首先,基因检测应该贯穿治疗全过程,特别是在出现耐药时;其次,罕见突变虽然治疗复杂,但通过精准检测和个体化治疗,仍然可以找到有效方案。在精准治疗的时代,制定合适的个体化治疗方案至关重要。在这例疑难、危重患者的诊治过程中,山东第一医科大学附属肿瘤医院呼吸内科和山东第一医科大学第二附属医院肿瘤科团队团结协作,展现了过硬的内科综合素质和在少见突变肺癌领域的专业能力。
专家简介

主任医师、医学博士、教育学博士后
山东第一医科大学附属肿瘤医院呼吸内科二病区科主任
山东省研究型医院学会肺癌转化医学分会主任委员
山东省研究型医院协会肿瘤协作分会副主任委员
山东中西医结合学会肿瘤专业委员会副主任委员
山东省抗癌协会肺癌专业委员会常委
山东省抗癌协会小细胞肺癌分会常委
山东省肿瘤质控中心肺癌学组秘书
山东省肿瘤医院肺癌MDT专家成员
中国抗癌协会化疗专业委员会青年委员
山东省医学会流行病学与循证医学分会青年学组委员

何东生
山东第一医科大学附属肿瘤医院呼吸内科二病区主治医师、肿瘤学博士
从事肺恶性肿瘤的临床内科诊疗与基础研究及转化,擅长肺恶性肿瘤的靶向与免疫治疗,发表多篇SCI研究成果,相关研究成果多次于ASCO/CCHIO等国际及国内知名肿瘤学相关学术会议展示并获得高质量论文荣誉证书。

杨广建
山东第一医科大学附属肿瘤医院呼吸内科二病区主治医师、科主任助理
硕博连读毕业于北京协和医学院/中国医学科学院肿瘤医院
山东省医学会会员
山东第一医科大学骨干人才
第一届山东省研究型医院协会肺癌转化医学分会学术秘书
第一届北京整合医学学会胸部肿瘤精准诊疗分会委员
第一届山东省医学会类器官分会青年委员
从事肺癌内科临床与基础转化研究,擅长非小细胞肺癌少见基因突变诊治。以第一作者发表SCI论文26篇(IF>130),相关临床研究成果多次于ASCO/WCLC/ELCC等国际学术会议展示。
编辑:李鹏飞
责编:王沙沙
审核:路友华
